
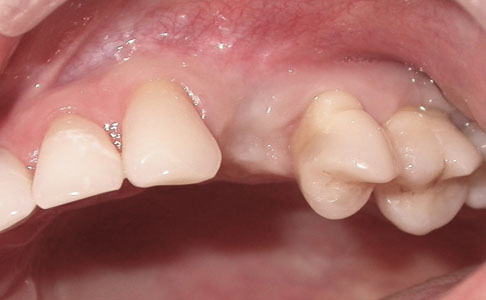
Implants are a fantastic way of replacing missing teeth. Their main advantage is that you do not need to wear an ordinary denture or damage the adjacent teeth with a bridge. They can be used to support permanently fixed teeth which do not need to be removed, or they can dramatically stabilise a loose denture, making it almost as strong as natural teeth. They are a long term solution, which if properly cared for can last decades, potentially a lifetime. Once a tooth has been lost, the gum and jawbone in the area begins to shrink. If several teeth are lost in a row, the face can look sunken resulting in a prematurely older appearance. If implants are placed however, the gum and bone stops shrinking and is permanently preserved.
At ocean dental you can be assured that every aspect of your treatment will be provided to the highest standard. The combination of Don Weerasirie’s extensive surgical experience and the highest quality German implant system ‘ANKYLOS’, which has over 20 years of research, provides consistently high success rates.
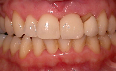
An implant is a small titanium screw which attaches through the gum into the jaw bone. Once in position, an implant fuses with the bone and becomes part of you. Natural looking artificial teeth can then be attached to it. A single implant can replace a single tooth, or multiple implants can be used to support a bridge replacing several missing teeth. They are also an excellent way to stabilise and secure a loose denture.
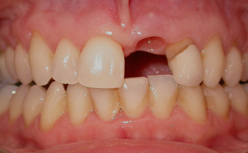
What is the procedure like?Implants are placed under the same local anaesthetic used for routine fillings or extractions. The procedure is safe and completely painless. Any swelling or discomfort after the procedure is similar to, or less than a routine extraction.
How many implants do I need?If a single tooth is missing, then only one implant is needed. If several teeth are missing, you do not always need one implant per tooth. Two or three implants can easily support four or five teeth. Six implants can often support a full set of upper or lower teeth. If they are being used to support a denture, only two or four implants are needed.
How long does it take?After an implant is placed it is normally left for three months to integrate (fuse with the jawbone). Then the teeth or denture can be attached. During this time temporary teeth can be used so that you do not have to have a gap. Sometimes teeth can be attached immediately however this can sometimes reduce the success rate.
How successful are they?Implants are a highly successful treatment with typical success rates of 95%-99%. If properly cared for they can last decades, potentially a lifetime. The experience of the surgeon and quality of the implant system is very important, and is often reflected in the cost.
Am I suitable for implants?Most people are suitable for implants, however you must have enough bone in the area to support the implant. Even if you do not have enough bone, implants may still be possible as there are now techniques available to regenerate missing bone. Some factors can affect the success rates, for example smoking and uncontrolled gum disease.
How do I start?The first stage involves a detailed examination of the gums, existing teeth and bone quality using x-rays. Planning is the most important stage and we will spend time talking with you to find out your exact concerns and needs. All the possible options will be discussed so that you can make an informed decision that you are comfortable with.
We are happy to offer you a free initial discussion to discuss the possibility of implants.




You will find a wide variation in costs offered for dental implants and it is very tempting to decide on cost alone, however it is very important to consider the factors involved before deciding. Such as:
- the quality of the implant system used- the skill and experience of the surgeon
- the quality of the dental laboratory and components used
- the time taken to plan the treatment carefully.
All of these factors can affect the success rates, longevity of the implants and patient satisfaction. We have been working exclusively with ‘ANKYLOS’ implants by Dentsply for several years because they are one of the highest quality systems in the world with decades of research. Whilst it is possible to save money by using cheaper implant components, many of them do not have this proven track record.
At ocean dental we will not compete on cost where it would compromise the quality of your treatment, but you have our commitment to delivering the highest possible clinical standards as cost effectively as possible.