

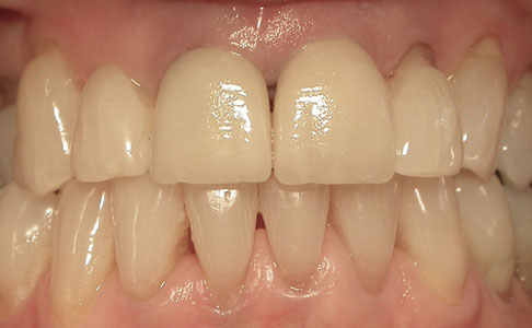
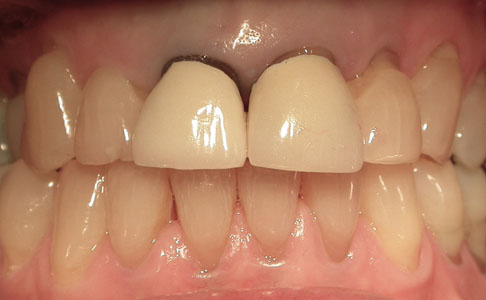
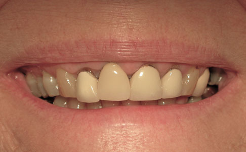
A crown (or ‘cap’) is used when a natural tooth needs to be strengthened, perhaps because it is heavily filled or fractured. The crown completely covers the remaining natural tooth and can be made of gold or porcelain (tooth coloured).
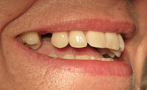
A bridge is used to replace missing teeth. Conventional bridges involve crowning the teeth adjacent to the gap, with false teeth joined in between. They are very strong but involve damaging the adjacent teeth (unless they are already crowned).
A less destructive option is an adhesive bridge. This involves sticking the false tooth to the adjacent teeth but they are not as strong. The strongest non- destructive alternative is an implant.
Crowns/bridges are made over two visits. At the first appointment, the teeth are prepared, an impression is taken and a temporary crown/bridge is fitted. A dental technician then constructs the crown/bridge and at the second appointment it is fitted.
If the crown/bridge is visible in your smile, it is important to achieve a truly natural looking result. This is a highly artistic process requiring an extremely talented technician. At ocean dental we only work with the most highly skilled technicians in Cornwall to ensure you achieve natural beautiful teeth.
This is one of the areas of dentistry where cost can make a huge difference to the result. The more time a dentist and technician has to carefully prepare the teeth and produce the crown/bridge, the better they will fit and the longer they will last.