enlighten your smile
your smile
All too often people put up with aspects of their smile that they are unhappy with for years. Some people even avoid going to the dentist because they are embarrassed by condition of their teeth. However unhappy you are, we have the artistry and expertise to provide you with a healthy, natural and confident smile. New techniques and advances in cosmetic dentistry have made it possible to restore, rejuvenate and enhance even seriously damaged teeth and gums. The appearance and health of your mouth can always be improved, it is never too late!
Find a solution to your problem and see examples of our work by clicking on a link below:
-
- discoloured teeth
-
Discoloured teeth treated with teeth whitening
causing no damage to teeth
Single discloloured tooth ‘dead tooth’ treated with
single tooth whitening causing no damage to tooth -
- crooked teeth
-
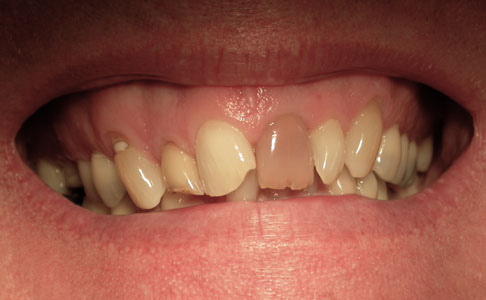
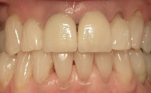
Crooked upper front teeth treated with four
porcelain veneers and a crown to improve
appearance
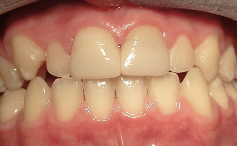
Crooked upper front teeth treated with
four porcelain veneers -
- gaps between teeth
-
Gaps between front six teeth closed by adding
composite filling material (composite veneers) with
no damage to the enamel
Gap between lower teeth closed by adding
composite filling material to teeth
either side -
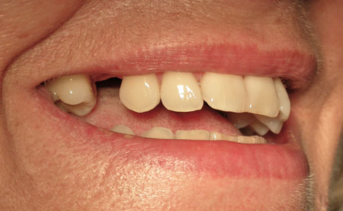
- missing teeth
-
Implant replacing missing upper front tooth
Adhesive bridge to replace missing tooth causing no
damage to adjacent teeth. -
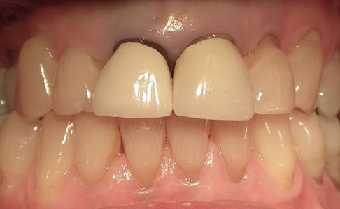
- old crowns and bridges
-
Three new crowns and two composite veneers
to replace old ones which are cracked and have a
discloured margin.
Old unsightly crowns on front two teeth replaced
with natural looking porcelain crowns -
- old metal fillings
-
Old fractured amalgam fillings removed and teeth
rebuilt with tooth coloured composite
Failing amalgam filling removed and tooth rebuilt
with tooth coloured composite -
- stained visible fillings
-
Old stained fillings replaced on front teeth
Old stained filling replaced on front tooth -
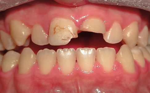
- broken teeth
-
Broken tooth rebuilt with composite material
Broken teeth rebuilt with composite material -
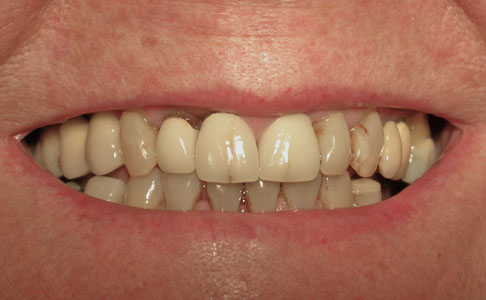
- worn teeth
-
Composite tooth coloured filling material used to
rebuild worn upper front six teeth with no damage
to the enamel. Worn teeth cause a premature
aged appearance.
